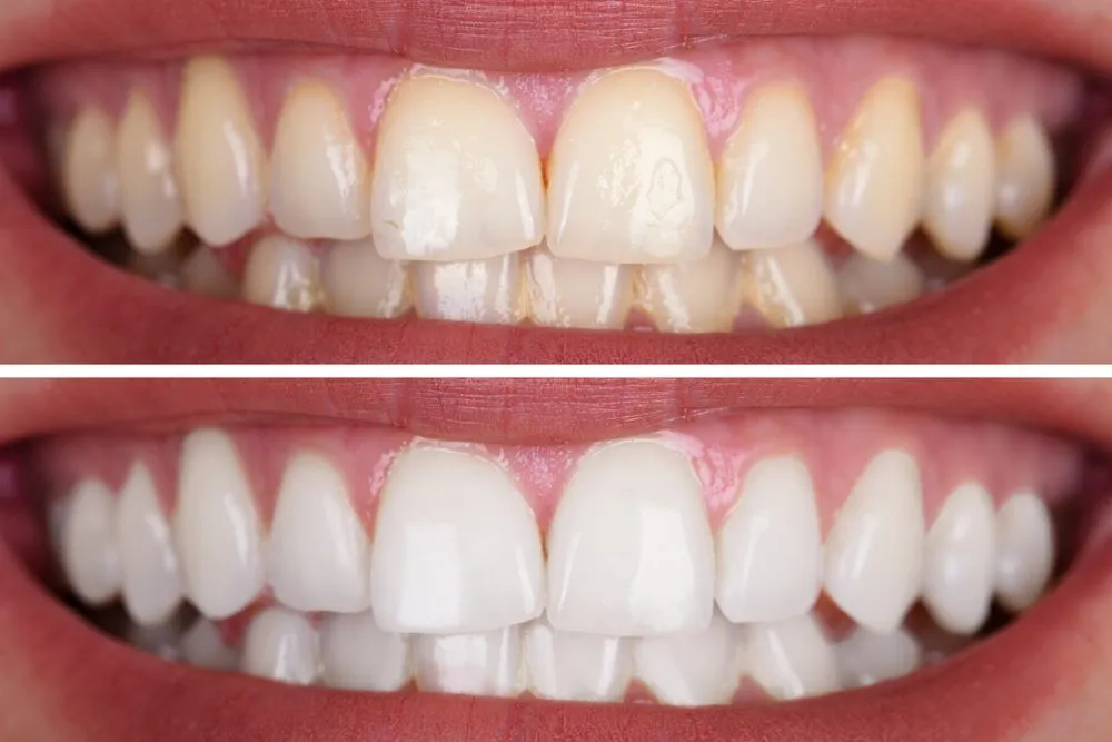
What is Teeth Whitening?
Teeth whitening is a popular cosmetic dental procedure designed to lighten the shade of your teeth, improving the overall appearance of your smile. This process can effectively remove stains and discoloration caused by various factors, such as aging, genetics, and lifestyle choices. Whether you’re looking to boost your confidence or enhance your oral health, understanding how teeth whitening works is crucial for achieving the desired results. It’s a procedure that involves the use of bleaching agents to break down the stain molecules within the enamel, resulting in a brighter and more radiant smile. The effectiveness and methods can vary, but the goal remains the same — to restore the natural whiteness of your teeth or even surpass it.
Types of Teeth Whitening Methods
There are several methods available for teeth whitening, each with its own set of advantages and disadvantages. These methods can be broadly categorized into professional treatments administered by a dentist and over-the-counter (OTC) products that you can use at home. The choice of method often depends on your individual needs, the severity of staining, and your budget. Understanding the options will help you make an informed decision. The main goal of all teeth whitening methods is to reduce the discoloration and improve the brilliance of your smile. From in-office procedures to take-home kits and OTC options, there’s a whitening solution for almost everyone.
Professional Teeth Whitening

Professional teeth whitening, performed by a dentist, offers the most effective and controlled approach to teeth whitening. These treatments typically use higher concentrations of bleaching agents than OTC products, leading to faster and more dramatic results. A dentist can also assess your oral health and determine if teeth whitening is suitable for you, addressing any underlying dental issues before proceeding. The professional approach also includes the implementation of protective measures to safeguard gums and other soft tissues. Furthermore, dentists can customize the treatment to fit the patients’ needs to make the entire process more effective and safer.
In-Office Whitening Procedures
In-office whitening involves a dentist applying a powerful bleaching agent directly to your teeth. The dentist usually isolates your gums with a protective barrier to prevent irritation. A special light or laser may be used to accelerate the whitening process, which can be completed in a single visit, typically lasting from 60 to 90 minutes. The results are often immediately noticeable, and can significantly improve your smile’s brightness. This method is ideal for individuals seeking immediate results and professional supervision. The process is very controlled, ensuring safety and maximizing effectiveness.
Take-Home Whitening Kits
Take-home whitening kits provided by your dentist offer a more gradual approach to teeth whitening. These kits include custom-fitted trays designed to fit your teeth precisely, along with a bleaching gel. You apply the gel to the trays and wear them for a specified amount of time each day, as directed by your dentist, over a period of several weeks. The dentist will assess your teeth and ensure the correct strength of bleaching agent is used. This method offers convenience and can be more cost-effective than in-office treatments, and are especially useful for mild to moderate staining. It is important to follow instructions carefully for best and safest results.
Over-the-Counter Teeth Whitening

Over-the-counter (OTC) teeth whitening products are readily available in drugstores and supermarkets. These products are generally less expensive and easier to access than professional treatments. However, they typically contain lower concentrations of bleaching agents, resulting in less dramatic results and potentially longer treatment times. While OTC products can be effective for mild staining, it’s important to carefully read and follow the instructions to minimize the risk of side effects. They may not be suitable for everyone, so always consult with your dentist if you have any concerns. Regular use of these products may result in significant improvements but consistency is vital.
Whitening Toothpastes
Whitening toothpastes contain mild abrasives and chemicals that help remove surface stains. These toothpastes are designed to polish the teeth and can help maintain whiteness. They can be a good option for daily maintenance and for people who only have minor staining. However, they don’t actually change the color of your teeth, and can be less effective on deeper stains. They can be a helpful addition to a teeth whitening routine, but it is important to note that they are not as effective as other whitening methods. They are safe for everyday use and help prevent new stains from forming.
Whitening Strips
Whitening strips are thin, flexible strips coated with a peroxide-based bleaching agent. They are applied directly to your teeth and are easy to use at home. You typically wear them for a set amount of time each day for several weeks. Whitening strips can be an effective way to whiten your teeth, especially for mild to moderate staining. It’s important to follow the instructions carefully and be consistent for the best results. They are widely available and a popular option for those looking for a more affordable and convenient teeth whitening method. These strips usually fit the shape of your teeth nicely.
How Teeth Whitening Works

Teeth whitening primarily works by using bleaching agents, typically hydrogen peroxide or carbamide peroxide, to break down stain molecules within the enamel of your teeth. These agents penetrate the enamel and dentin, oxidizing the discolored compounds and lightening the tooth color. The effectiveness of the treatment depends on the concentration of the bleaching agent, the duration of the treatment, and the type and severity of the stains. It is a chemical process and requires time to be effective. The amount of whitening achieved varies from person to person and depends on individual factors like the original tooth shade and the type of stains present.
The Science Behind Whitening Agents
The active ingredients in teeth whitening products, hydrogen peroxide and carbamide peroxide, are oxidizing agents. When these agents come into contact with the stained molecules in your teeth, they initiate a chemical reaction. This reaction breaks down the larger stain molecules into smaller, less visible ones, thus reducing the intensity of the stain and making your teeth appear whiter. The bleaching agents don’t actually remove the enamel; instead, they alter the internal structure of the stained molecules. The higher the concentration of the peroxide, the faster and more effective the whitening process, under the proper guidance of a dentist. It is a safe process when performed correctly.
The Role of Peroxide
Peroxide, whether in the form of hydrogen peroxide or carbamide peroxide, is the key ingredient in teeth whitening treatments. Hydrogen peroxide is a strong bleaching agent and is often used in higher concentrations in professional treatments. Carbamide peroxide breaks down into hydrogen peroxide, and is commonly found in take-home whitening kits and over-the-counter products. The peroxide molecules diffuse through the enamel and dentin, attacking the stain molecules. The concentration of peroxide, and the length of its exposure to the teeth, determine the degree of whitening achieved. The higher the peroxide concentration, the shorter the treatment duration needed, but this also increases the chance of side effects if not managed professionally.
How the Process Lightens Teeth

The teeth whitening process involves the bleaching agents penetrating the porous enamel and dentin of your teeth. Once inside, the bleaching agents break apart the stain molecules that have accumulated over time, causing discoloration. This process doesn’t remove the enamel, it just changes the way light interacts with the stained tooth structure, making your teeth appear lighter and brighter. The whitening process reverses the effects of staining, making your smile several shades lighter. The extent of whitening depends on the method used, the concentration of the bleaching agent, and the duration of treatment.
Factors Affecting Whitening Results
Several factors can influence the effectiveness and longevity of teeth whitening results. Understanding these factors can help you manage your expectations and make informed choices about your treatment. Some factors relate to the causes of staining, while others are related to lifestyle choices and the individual’s oral health. It’s important to be aware of these aspects to maximize the outcome of your teeth whitening treatment. By addressing these elements, you can keep your smile looking bright and maintain the results of your whitening efforts for a longer period.
Tooth Staining Causes
Tooth staining can result from a variety of causes, ranging from natural aging to specific lifestyle habits. Understanding the source of the stains can help you prevent them from occurring. Extrinsic stains occur on the surface of the teeth, while intrinsic stains are located within the tooth structure. The type of stain can impact the effectiveness of the teeth whitening. Knowing the causes helps determine the best course of action for effective treatment and long-term maintenance. Some causes are easier to prevent or reverse than others.
Dietary Habits

Certain foods and drinks are notorious for staining teeth. Coffee, tea, red wine, and dark-colored sodas contain chromogens, which are color-producing substances that can adhere to the enamel and cause staining. Highly acidic foods and beverages can also erode the enamel, making teeth more susceptible to staining. Frequent consumption of these items can accelerate the staining process. Limiting your intake of these items and practicing good oral hygiene can help reduce stain accumulation. It is recommended to consume these in moderation to maintain teeth whiteness.
Smoking and Tobacco Use
Smoking and the use of other tobacco products are major contributors to tooth discoloration. Tobacco contains tar and nicotine, which stain teeth and can also lead to other oral health problems, such as gum disease and tooth loss. The staining caused by tobacco use is often difficult to remove and may require more aggressive whitening treatments. Quitting smoking is the best way to prevent tobacco-related staining and protect your oral health. Using tobacco products not only stains your teeth but also undermines the effectiveness of whitening treatments. If you are planning to get your teeth whitened, it is best to quit smoking before undergoing the procedure.
Maintenance and Aftercare
Proper maintenance and aftercare are essential for preserving the results of your teeth whitening treatment. This includes practicing good oral hygiene, avoiding staining foods and drinks, and regular dental check-ups. Taking these steps will help prolong the life of your brighter smile. Consistency is the key to maintaining the effects of teeth whitening. Regular check-ups and proper dental hygiene can help make sure your teeth remain whiter for longer.
Tips for Maintaining a Bright Smile

Maintaining a bright smile requires a consistent effort in both your daily routine and your lifestyle choices. Brush your teeth twice a day with a whitening toothpaste and floss daily to remove plaque and food particles. Rinse your mouth with water after consuming staining foods and drinks, and consider using a straw to minimize contact with your teeth. Avoid tobacco products and limit your intake of coffee, tea, and red wine. Regular dental check-ups and professional cleanings are also essential for removing surface stains and maintaining oral health. Following these simple practices will ensure your teeth remain bright for longer.
Avoiding Staining Foods and Drinks
To prevent new stains, it is important to be mindful of your diet and consumption habits. Minimize your intake of staining foods and drinks, such as coffee, tea, red wine, dark sodas, and berries. If you do consume these items, rinse your mouth with water afterward to help prevent staining. Consider using a straw for beverages to minimize contact with your teeth. Regular brushing and flossing, especially after consuming these foods and drinks, can also help prevent stains from setting in. This will greatly help in the longevity of your teeth whitening treatments.
Regular Dental Check-ups
Regular dental check-ups and professional cleanings are essential for maintaining a bright smile. During these visits, your dentist will remove any plaque, tartar, and surface stains. They can also assess the overall health of your teeth and gums. Professional cleanings can help remove stains that are difficult to remove with brushing alone. Scheduling check-ups every six months is recommended to ensure your oral health. These visits give your dentist a chance to evaluate any potential problems and offer advice for continued dental health. This is an essential part of any teeth whitening aftercare.
