Are you dreaming of a brighter, more confident smile? Teeth whitening in New Rochelle offers a fantastic solution to enhance your pearly whites and boost your self-esteem. With a variety of options available, from professional in-office treatments to convenient at-home kits, achieving a dazzling smile has never been easier. This guide will explore the top facts about teeth whitening in New Rochelle, helping you make informed decisions and achieve the radiant smile you’ve always desired. Let’s dive into the world of teeth whitening and discover how it can transform your smile and your life.
Why Choose Teeth Whitening in New Rochelle
New Rochelle provides access to numerous experienced dental professionals specializing in cosmetic dentistry, including teeth whitening. Choosing local services means you benefit from personalized care, convenient appointments, and the assurance of quality treatments. Local dentists understand the specific needs of the community, offering tailored solutions for your unique smile. The convenience of having readily available follow-up appointments and the ability to build a trusted relationship with your dentist are significant advantages. Furthermore, supporting local businesses contributes to the community’s economic growth, making your decision to choose teeth whitening in New Rochelle a win-win for you and the area.
How Teeth Whitening Works
Teeth whitening works by using bleaching agents, typically hydrogen peroxide or carbamide peroxide, to break down stains and discoloration on your teeth. These agents penetrate the enamel and dentin, the layers beneath the enamel, to oxidize the stain molecules. This process makes the stains less concentrated and, as a result, your teeth appear brighter. The effectiveness of the treatment depends on several factors, including the concentration of the bleaching agent, the duration of its application, and the type and severity of the stains. Professional treatments use higher concentrations of bleaching agents, yielding faster and more dramatic results compared to at-home kits. However, both methods work on the same basic principle of chemical oxidation to lighten the teeth.
The Different Types of Teeth Whitening

There are several teeth whitening options available in New Rochelle, each designed to suit different needs and preferences. Understanding these options helps you make an informed decision about which method is best for you. The most common types include in-office whitening, where a dentist applies a high-concentration bleaching agent under controlled conditions; and at-home whitening kits, which include custom-fitted trays and a lower-concentration bleaching gel. Over-the-counter whitening products, such as whitening strips and toothpastes, offer a more budget-friendly option but with less dramatic results. The best choice depends on your budget, the severity of your stains, and your desired level of brightness. A consultation with your dentist in New Rochelle will help you determine the most suitable treatment.
In-Office Whitening
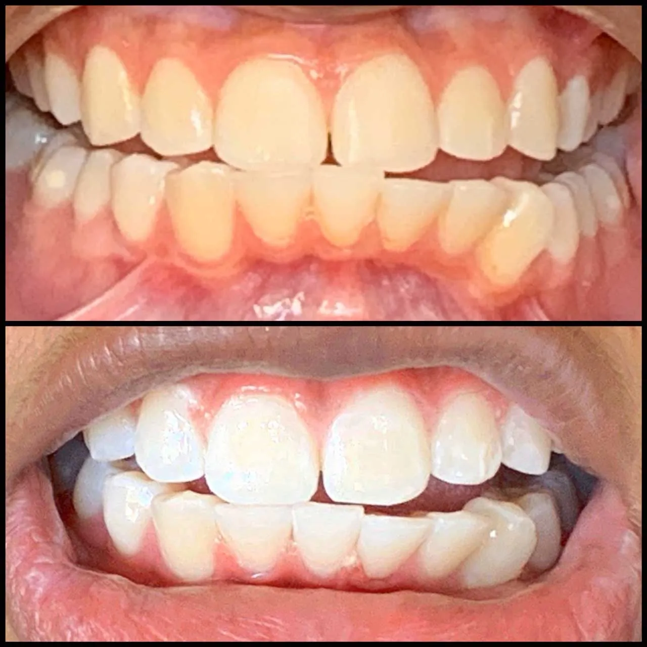
In-office whitening, performed by a dental professional in New Rochelle, provides the quickest and most dramatic results. The dentist applies a high-concentration bleaching gel to your teeth, often combined with a special light or laser to accelerate the whitening process. This method typically involves a single appointment lasting about an hour, during which your teeth can lighten several shades. In-office whitening is ideal for people who want immediate results or have significant tooth discoloration. The dentist can also monitor your progress and address any sensitivity or other issues that may arise during the treatment. While it is more expensive than at-home options, the convenience and effectiveness make it a popular choice.
At-Home Whitening Kits
At-home whitening kits offer a convenient and cost-effective way to whiten your teeth from the comfort of your home. Your dentist in New Rochelle can provide custom-fitted trays and a bleaching gel with a lower concentration than used in-office treatments. You wear the trays for a specified amount of time each day, typically for a few weeks, until you achieve the desired results. At-home kits allow for a gradual whitening process, giving you control over the brightness of your smile. They are a great option for people who want a more affordable solution and are willing to commit to the treatment over a few weeks. Following your dentist’s instructions carefully is crucial to ensure safe and effective results.
Professional vs DIY Whitening

The choice between professional teeth whitening and DIY methods comes down to several factors, including the severity of discoloration, budget, and desired results. Professional whitening, performed by a dentist in New Rochelle, provides the most powerful and fastest results. Dentists can use stronger bleaching agents and address potential issues like sensitivity. DIY methods, such as over-the-counter products, are generally less expensive but may not be as effective for severe stains. They also carry a higher risk of uneven whitening and gum irritation if not used correctly. Consulting your dentist in New Rochelle is essential to determine the best approach for your specific needs, considering both effectiveness and safety.
Factors Affecting Teeth Whitening Results
Several factors can impact the effectiveness and longevity of your teeth whitening results. The type and severity of stains, your oral hygiene habits, and your diet all play a role. Extrinsic stains, caused by foods and drinks like coffee, tea, and red wine, are usually easier to remove than intrinsic stains, which are within the tooth structure. Smoking and tobacco use can also cause significant discoloration and hinder whitening efforts. Additionally, your natural tooth color and the presence of dental work, like fillings and crowns, can affect how your teeth respond to whitening treatments. Your dentist in New Rochelle can assess these factors and provide personalized advice to maximize your results.
The Benefits of Teeth Whitening New Rochelle
Teeth whitening offers numerous benefits beyond just a brighter smile. The psychological impact of having whiter teeth can significantly boost your self-esteem and confidence, allowing you to smile more freely and feel more comfortable in social situations. A brighter smile often makes you appear more youthful and approachable, enhancing your overall appearance. In addition to cosmetic benefits, teeth whitening can also motivate you to maintain better oral hygiene practices. Knowing that you’ve invested in a brighter smile encourages you to brush and floss regularly, contributing to improved oral health. Overall, teeth whitening can have a positive ripple effect on your self-image and well-being.
Boosts Confidence

One of the most significant benefits of teeth whitening is the boost it gives to your confidence. A brighter smile can make you feel more attractive and self-assured, leading to improved social interactions and a more positive self-image. When you are confident in your smile, you are more likely to engage with others, express yourself freely, and pursue opportunities without hesitation. Teeth whitening can be a powerful tool for enhancing your self-esteem and improving your overall quality of life. Seeing the immediate difference after a teeth whitening session in New Rochelle can be incredibly empowering, helping you feel like the best version of yourself.
Improves Oral Health
While the primary goal of teeth whitening is cosmetic, it can indirectly improve your oral health. The desire to maintain a bright, white smile often motivates individuals to practice better oral hygiene habits, such as more frequent brushing and flossing. Regular dental check-ups and cleanings, often part of the teeth whitening process in New Rochelle, can also contribute to improved oral health by identifying and addressing potential issues early on. A healthier mouth is less susceptible to dental problems like cavities and gum disease. Thus, teeth whitening encourages you to take better care of your teeth, resulting in long-term benefits for your overall well-being.
Enhances Appearance
Teeth whitening dramatically enhances your appearance, making you look younger, more vibrant, and healthier. A bright, white smile is often associated with youthfulness and attractiveness. Whitening can reverse the effects of aging and discoloration, giving you a more radiant and appealing look. This enhanced appearance can have positive effects in both personal and professional settings, making you feel more confident and making a better first impression. A brighter smile can truly transform your look, boosting your overall appeal and self-perception. Teeth whitening services in New Rochelle provide an accessible and effective way to achieve a more aesthetically pleasing smile.
Top 5 Facts About Teeth Whitening New Rochelle

Fact 1 Overview
Teeth whitening in New Rochelle offers a wide range of options, from professional in-office treatments to convenient at-home kits and over-the-counter solutions. The best approach depends on your specific needs, budget, and desired results. Consulting a local dentist is the best way to determine the most suitable treatment. Options vary in cost, effectiveness, and the time commitment required. Understanding the various techniques available allows you to make an informed decision that best suits your individual needs and preferences. A consultation with a dental professional in New Rochelle is crucial to explore which option is best for you.
Fact 2 Details
Professional teeth whitening treatments in New Rochelle use higher concentrations of bleaching agents, providing faster and more dramatic results compared to at-home methods. In-office procedures often incorporate special lights or lasers to accelerate the whitening process, achieving noticeable improvements in a single session. At-home kits use custom-fitted trays and a lower concentration gel, offering a gradual whitening effect over a few weeks. Over-the-counter options, like strips and toothpastes, are less effective but can offer some improvement. Knowing the differences allows you to choose the best option.
Fact 3 More Details

The longevity of teeth whitening results can be affected by lifestyle factors, including diet, oral hygiene, and smoking habits. Avoiding stain-causing foods and drinks, such as coffee, tea, red wine, and berries, can help maintain a bright smile for longer. Consistent brushing, flossing, and regular dental check-ups are also crucial for preserving your results. Smoking can significantly reduce the effectiveness and lifespan of teeth whitening. Proper aftercare, including following your dentist’s instructions, can help maximize the benefits of the treatment and ensure lasting results. Consider making regular dental appointments to maintain your beautiful smile.
Fact 4 Insight
While teeth whitening is a safe and effective cosmetic procedure for most people, it may not be suitable for everyone. Individuals with certain dental conditions, such as severe tooth decay, gum disease, or sensitive teeth, should consult with their dentist before undergoing treatment. Teeth whitening does not work on dental restorations, such as fillings, crowns, and veneers. Pregnant or breastfeeding women should also avoid teeth whitening. A thorough dental examination is essential to determine if you are a suitable candidate and to address any underlying issues before beginning the whitening process.
Fact 5 Conclusion
Teeth whitening in New Rochelle offers a convenient and effective way to enhance your smile and boost your confidence. With various options available, from professional treatments to at-home kits, you can choose the best method to achieve your desired results. Understanding the different types of whitening, the factors affecting results, and the benefits of the procedure will help you make an informed decision. Consulting with a local dentist will ensure a safe and successful treatment, leading to a brighter, healthier smile that you can be proud of. Embrace the transformation and enjoy the benefits of a radiant, confident smile.
Maintaining Your Bright Smile

Once you’ve achieved a brighter smile with teeth whitening in New Rochelle, maintaining those results is key. Proper aftercare and lifestyle choices can significantly extend the longevity of your whitening treatment. This includes following post-whitening instructions from your dentist, avoiding stain-causing foods and drinks, and maintaining good oral hygiene practices. Regular dental check-ups and professional cleanings are also essential for keeping your teeth looking their best. By making these steps a part of your daily routine, you can enjoy your dazzling smile for years to come and feel confident in your appearance. Remember that a little effort can go a long way in preserving your beautiful white teeth.
Post-Whitening Care Tips
Following your dentist’s post-whitening instructions is crucial for maximizing and maintaining your results. Avoid consuming staining foods and drinks, such as coffee, tea, red wine, and dark-colored berries, for at least a week or two after the procedure. If you do consume these items, brush your teeth immediately afterward to minimize staining. Use a whitening toothpaste to help maintain your bright smile, and consider using a fluoride toothpaste to reduce sensitivity. Avoid smoking and chewing tobacco, as these can quickly discolor your teeth. Regular dental check-ups and professional cleanings will also help ensure the long-term success of your teeth whitening treatment. Take care to keep your smile vibrant for a long time.
Regular Dental Check-ups
Regular dental check-ups and professional cleanings are essential for maintaining a healthy and bright smile. During your check-ups, your dentist in New Rochelle can assess the condition of your teeth, gums, and any dental work. They can also perform a professional cleaning to remove plaque and tartar, which can contribute to staining and discoloration. Your dentist can also address any oral health issues, such as cavities or gum disease, that could affect your whitening results. Regular check-ups help ensure that your teeth are healthy and that your whitening treatment continues to look its best. Schedule those appointments to keep your smile at its best.
