Understanding Root Canal Tooth Whitening
Root canal tooth whitening is a specialized dental procedure designed to address the discoloration of a tooth that has undergone root canal treatment. This discoloration can occur due to various factors, and whitening is often necessary to restore the natural appearance of the tooth. This process involves bleaching the tooth from the inside out, providing a brighter and more aesthetically pleasing smile. It is crucial to understand the underlying causes of tooth discoloration after a root canal and the different whitening options available to ensure the most effective and suitable treatment for each individual. This guide delves into the intricacies of root canal tooth whitening, providing comprehensive information on the causes, procedures, and aftercare to help you achieve a radiant smile.
What is a Root Canal
A root canal is a dental procedure performed to save a tooth that has become severely infected or damaged. It involves removing the infected or inflamed pulp, the soft tissue inside the tooth that contains nerves, blood vessels, and connective tissue. The dentist cleans and disinfects the root canals, the spaces inside the roots of the tooth, and then fills them with a biocompatible material called gutta-percha. A crown is often placed on the tooth to protect it and restore its function. Root canals are often necessary due to deep decay, repeated dental procedures on the tooth, a crack or chip in the tooth, or trauma to the tooth. The primary goal of a root canal is to eliminate the infection, relieve pain, and preserve the natural tooth, preventing the need for extraction and maintaining proper oral health and function.
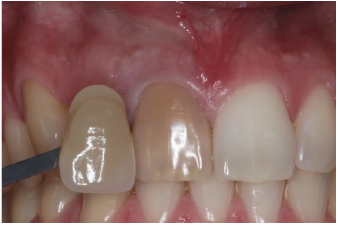
Why Teeth Discolor After Root Canal

Teeth can discolor after a root canal due to several reasons. The primary cause is often the breakdown of blood and other fluids within the tooth’s pulp chamber. When the pulp tissue dies, it releases pigments that seep into the dentin, the layer beneath the enamel, leading to a darkened appearance. The materials used during the root canal procedure, such as gutta-percha, can also contribute to discoloration over time, especially if they stain the dentin. Additionally, any remaining debris or bacteria within the tooth can cause staining. The longer the tooth remains untreated after the root canal, the more likely discoloration becomes. The degree of discoloration can vary depending on the individual, the severity of the initial damage or infection, and the materials and techniques used during the root canal treatment. Addressing this discoloration through whitening is essential to restore the tooth’s natural appearance.
The Importance of Whitening
Whitening a discolored tooth after a root canal is essential for both cosmetic and psychological reasons. A significantly discolored tooth can negatively impact a person’s smile and overall appearance, leading to self-consciousness and a lack of confidence. By whitening the tooth, the natural aesthetics of the smile are restored, and the individual can feel more comfortable and confident in their social interactions. More than just an aesthetic concern, it can also signify that the root canal treatment was successful and that no further infection exists. Whitening often helps to create a harmonious and balanced smile, contributing to a positive self-image and overall well-being. Addressing discoloration is, therefore, a crucial step in the complete dental care process, ensuring both oral health and self-esteem.
Root Canal Whitening Options
Several whitening options are available for teeth that have undergone root canal treatment, with the most common being internal bleaching and external whitening. Internal bleaching involves placing a bleaching agent inside the tooth to lighten it from the inside out, while external whitening focuses on bleaching the tooth’s surface. The choice of whitening method depends on factors such as the degree of discoloration and the patient’s preferences. Often, a combination of both internal and external techniques is used to achieve the best results. Dentists carefully evaluate each patient’s unique situation and recommend the most appropriate whitening strategy to restore the natural appearance of the tooth and enhance the overall smile. This ensures the best possible outcome and patient satisfaction.
Internal Bleaching Technique

Internal bleaching, also known as walking bleach, is a specialized technique used to whiten teeth that have had a root canal. The procedure begins by removing the gutta-percha filling from the root canal chamber, leaving space for the bleaching agent. The dentist then places a bleaching agent, typically a mixture of sodium perborate and hydrogen peroxide, inside the tooth. A temporary filling is placed to seal the tooth. The bleaching agent remains inside the tooth for a specific period, usually several days to a week, during which it lightens the tooth from the inside out. The dentist monitors the progress and may repeat the procedure until the desired shade is achieved. This method effectively removes internal stains and restores the tooth’s natural appearance. It is a minimally invasive procedure that can provide significant aesthetic improvement.
How Internal Bleaching Works
Internal bleaching works by allowing the bleaching agent to penetrate the dentin, the layer of the tooth beneath the enamel, where the staining occurs. The bleaching agent oxidizes the staining compounds, breaking them down and making the tooth appear lighter. The process is gradual, with the effects becoming noticeable over several days to weeks. The bleaching agent is sealed within the tooth, preventing it from affecting the surrounding tissues and ensuring a controlled and safe whitening process. The dentist will typically monitor the whitening progress and adjust the procedure accordingly. Once the desired shade is achieved, the dentist removes the bleaching agent and refills the tooth with a permanent filling. This technique is highly effective in addressing discoloration caused by internal factors, restoring the tooth’s natural color and enhancing the overall appearance of the smile.
Materials Used in Internal Bleaching
The primary materials used in internal bleaching include sodium perborate and hydrogen peroxide, often combined to create the bleaching agent. Sodium perborate is a mild oxidizing agent and hydrogen peroxide acts as a bleaching agent. These materials are safe and effective for use inside the tooth. The dentist may also use a small cotton pellet or other absorbent material to apply the bleaching agent and ensure it is contained within the tooth chamber. A temporary filling material, such as a glass ionomer cement or a temporary composite, is used to seal the tooth during the bleaching process, preventing the bleaching agent from leaking and protecting the tooth from external contaminants. The choice of materials is crucial to ensure both the effectiveness of the whitening process and the safety of the patient.
External Whitening Techniques

External whitening techniques can complement internal bleaching to enhance the overall whitening effect, especially if the tooth has surface stains. These techniques involve applying a bleaching agent directly to the external surface of the tooth. Professional teeth whitening performed by a dentist often uses a higher concentration of bleaching agents for faster and more dramatic results. At-home whitening options include custom-fitted trays with a lower concentration of bleaching gel or over-the-counter whitening strips. External whitening can help address surface stains and improve the overall brightness of the tooth, creating a more harmonious and uniform appearance. When combined with internal bleaching, external whitening techniques can provide a comprehensive solution for restoring the natural color and beauty of a tooth after a root canal.
Professional Teeth Whitening
Professional teeth whitening, performed by a dentist, offers the most effective and controlled method for whitening teeth, including those that have had a root canal. Dentists use higher concentrations of bleaching agents, typically hydrogen peroxide, than those available in over-the-counter products, resulting in faster and more dramatic whitening. The procedure involves applying the bleaching agent to the tooth’s surface and activating it with a special light or laser to accelerate the whitening process. The dentist carefully monitors the progress and controls the treatment to minimize sensitivity and ensure the best possible results. Professional teeth whitening provides significant benefits, including immediate visible results, personalized treatment plans, and the expertise of a dental professional. It is an excellent option for achieving a bright and radiant smile quickly and safely.
At-Home Whitening Options
At-home whitening options provide a more convenient and cost-effective approach to tooth whitening, although they may take longer to achieve visible results. These options include custom-fitted trays prescribed by a dentist, which are filled with a lower concentration of bleaching gel and worn for a specific period each day. Over-the-counter whitening strips are also available, which adhere to the teeth and deliver a low concentration of bleaching agent. While at-home whitening options are generally safe, it’s essential to follow the instructions carefully to avoid irritation or sensitivity. Consulting with a dentist before using any at-home whitening product is recommended to ensure its suitability and effectiveness for your specific needs. At-home whitening is a great way to maintain a brighter smile and is often used to complement professional treatments.
Maintenance and Aftercare

Proper maintenance and aftercare are critical to preserving the results of root canal tooth whitening and ensuring long-term oral health. After the whitening procedure, it’s essential to avoid foods and drinks that can stain teeth, such as coffee, tea, red wine, and dark-colored sauces, for at least the first few days. Regular brushing and flossing, along with using a whitening toothpaste, can help maintain the brightness of your smile. Periodic touch-up treatments may be needed to address any new discoloration or maintain the desired shade. Regular dental check-ups and professional cleanings are also crucial for monitoring oral health and addressing any potential issues. Following these guidelines can help you enjoy a bright, healthy smile for years to come.
Maintaining Your Bright Smile
Maintaining your bright smile involves several steps to ensure the longevity of your root canal tooth whitening results. Besides avoiding staining foods and drinks, practicing excellent oral hygiene is essential. Brush your teeth twice a day with a whitening toothpaste and floss daily to remove plaque and food particles. Consider using a mouthwash that helps prevent stains. Avoid smoking, as it can cause significant discoloration. Regular dental check-ups and professional cleanings are also crucial. Your dentist can identify and address any issues early on and provide touch-up treatments if needed. With proper care and attention, you can maintain a bright and beautiful smile for years to come, boosting your confidence and overall well-being.
When to See a Dentist
It is essential to see a dentist if you notice any discoloration in a tooth that has undergone a root canal. The dentist can evaluate the cause of the discoloration and determine the most appropriate treatment. Regular dental check-ups are crucial for maintaining oral health and catching any potential issues early on. The dentist can monitor the tooth’s condition, assess the effectiveness of the whitening treatment, and provide any necessary follow-up care. If you experience any pain, sensitivity, or changes in your bite, seek dental care immediately. Your dentist can also provide personalized recommendations for maintaining your bright smile and addressing any concerns about your oral health. Regular dental visits are an investment in your long-term oral health and a beautiful smile.
