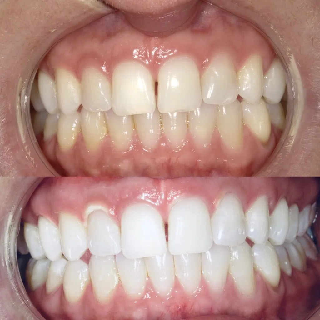
What is Teeth Whitening in NY
Teeth whitening in New York is a popular cosmetic dental procedure designed to lighten the shade of your teeth and improve your smile’s appearance. Discoloration can occur due to various factors, including aging, the consumption of staining foods and drinks like coffee, tea, and red wine, and smoking. Teeth whitening treatments work by using bleaching agents to break down the stain molecules, making your teeth appear whiter and brighter. Whether you’re a resident of Manhattan, Brooklyn, or anywhere else in NY, numerous options are available to help you achieve a dazzling smile. The process generally involves a consultation with a dentist to determine the most suitable treatment plan based on your specific needs and the extent of the discoloration.
Types of Teeth Whitening Treatments in NY
In New York, you have access to a variety of teeth whitening treatments, each with its own set of advantages and considerations. These treatments range from professional procedures performed by dentists to over-the-counter options available at local pharmacies. Understanding the different types of treatments can help you make an informed decision about which option best suits your lifestyle, budget, and desired results. The effectiveness and longevity of the whitening results can also vary depending on the chosen method. It’s always recommended to consult with a dental professional to discuss the best approach for your individual needs and to ensure the safety and health of your teeth.
Professional Teeth Whitening

Professional teeth whitening, also known as in-office teeth whitening, is performed by a licensed dentist in their clinic. This method is considered the most effective for achieving dramatic results in a short amount of time. Dentists use a higher concentration of bleaching agents than those available in over-the-counter products, and the procedure is often accelerated using special lights or lasers to enhance the whitening process. This approach ensures safety and can address various types of stains, providing a brighter, more even smile. The immediate results and professional supervision make this a popular choice for those seeking significant and rapid improvements in their teeth’s appearance.
In-Office Teeth Whitening
In-office teeth whitening involves a comprehensive procedure conducted by your dentist. The process typically begins with a thorough cleaning to remove plaque and debris. Then, a high-concentration bleaching gel is applied to the teeth, and a special light or laser is used to activate the whitening agent. This process is repeated multiple times during the session, usually lasting about an hour. The dentist will monitor your teeth throughout the procedure to ensure safety and efficacy, providing immediate and noticeable results. This method is ideal for those seeking a quick and effective solution to significantly brighten their smile in a single visit.
At-Home Teeth Whitening
At-home teeth whitening kits prescribed by your dentist provide a more gradual approach to teeth whitening. Your dentist will create custom-fitted trays based on impressions of your teeth, ensuring a comfortable and precise fit. You’ll receive a bleaching gel with a lower concentration than those used in the office. You’ll wear these trays with the gel for a specified amount of time each day, as directed by your dentist, typically for a few weeks. This method offers convenience and can be a more affordable option. Regular use of the trays as prescribed is necessary to achieve the desired level of whitening while being monitored by a dental professional.
Over-the-Counter Teeth Whitening

Over-the-counter (OTC) teeth whitening products are readily available at drugstores and supermarkets in New York. These products offer a more accessible and budget-friendly option for teeth whitening, allowing you to start improving your smile without a dental visit. However, the effectiveness of OTC products varies, and they usually contain lower concentrations of bleaching agents compared to professional treatments. Results may take longer to appear, and the level of whitening may be less dramatic. It’s important to follow the product instructions carefully and be aware that these products may not be suitable for everyone, particularly those with sensitive teeth or underlying dental issues.
Whitening Toothpastes
Whitening toothpastes are a common and easily accessible option for improving the brightness of your teeth. These toothpastes contain mild abrasives or chemical agents that help remove surface stains. They are effective at removing stains caused by coffee, tea, and other common culprits. However, whitening toothpastes typically do not contain bleaching agents, so they cannot change the natural color of your teeth. Regular use can contribute to maintaining a brighter smile, but they are generally less effective than professional whitening treatments or whitening strips. It is a good choice for daily maintenance and preventing new stains from setting in.
Whitening Strips
Whitening strips are thin, flexible strips coated with a peroxide-based bleaching agent. These strips are designed to adhere to the surface of your teeth, providing a more concentrated whitening effect than toothpastes. They are easy to use and can be purchased over the counter. Typically, you apply the strips for about 30 minutes each day for a few weeks. Whitening strips can be effective in removing surface stains and providing a noticeable improvement in the brightness of your teeth. However, the results may vary, and some people may experience temporary tooth sensitivity. Following the product instructions carefully is crucial to achieve the best results and minimize potential side effects.
Factors to Consider Before Teeth Whitening

Before undergoing teeth whitening in NY, several factors must be considered to ensure the procedure’s success and your overall oral health. The presence of existing dental work, such as fillings, crowns, and veneers, is critical, as these restorations will not whiten with the bleaching agents. The health of your gums and teeth also plays a crucial role; any untreated cavities or gum disease should be addressed before whitening. Furthermore, the cause and type of discoloration will influence the effectiveness of the treatment. It is important to have realistic expectations about the outcome, as individual results can vary. A consultation with a dentist in New York is the best way to evaluate these factors and determine the most appropriate teeth whitening strategy.
Cost of Teeth Whitening in NY
The cost of teeth whitening in NY varies depending on the type of treatment and the dentist’s fees. In-office whitening treatments are typically more expensive due to the professional expertise and technology involved. At-home whitening kits prescribed by your dentist are usually more affordable than in-office treatments but may cost more than over-the-counter options. Over-the-counter products are generally the most budget-friendly option. Factors such as the dentist’s location, the complexity of the case, and any additional procedures required can also affect the cost. It’s wise to get a detailed cost estimate from your dentist during the consultation to understand the financial implications of your chosen treatment plan.
Effectiveness and Longevity of Teeth Whitening
The effectiveness and longevity of teeth whitening results can vary depending on the chosen treatment and individual factors. In-office treatments typically provide the most immediate and dramatic results, with teeth often becoming several shades whiter in a single session. The longevity of these results can last from several months to a few years. At-home whitening kits and over-the-counter products may take longer to achieve noticeable results, but the effects can also last for several months. Factors such as your oral hygiene, diet, and lifestyle habits (e.g., smoking) can significantly impact how long your results last. Regular touch-up treatments and good oral care practices are essential for maintaining a bright, white smile.
Finding a Reputable Dentist in NY for Teeth Whitening

Finding a reputable dentist in NY for teeth whitening is crucial for achieving safe and effective results. Start by researching dentists in your area and checking their credentials, experience, and patient reviews. Look for dentists who have extensive experience in cosmetic dentistry and a strong track record of successful teeth whitening procedures. Schedule consultations with a few dentists to discuss your goals, ask questions, and assess their approach to teeth whitening. Ensure the dentist uses modern techniques and high-quality materials. Check if the dental practice adheres to strict hygiene and safety standards. The right dentist will provide a personalized treatment plan and prioritize your oral health and satisfaction.
Tips for Maintaining a Bright Smile After Whitening
Maintaining a bright smile after teeth whitening requires consistent care and attention. Following a few simple tips can help prolong your results and keep your teeth looking their best. Regular brushing and flossing are crucial for removing plaque and preventing new stains from forming. Avoid or limit the consumption of staining foods and beverages, such as coffee, tea, red wine, and dark-colored berries. If you do consume these items, rinse your mouth with water afterward. Use a whitening toothpaste to help maintain the brightness of your teeth, and schedule regular dental checkups and cleanings. Consider touch-up treatments as recommended by your dentist to keep your smile radiant. Good oral hygiene habits combined with conscious dietary choices are the keys to long-lasting results.
Foods and Drinks to Avoid
After teeth whitening, certain foods and drinks can stain your teeth and compromise your results. To protect your investment in a brighter smile, it’s essential to be mindful of what you consume. Foods and beverages that are highly pigmented are most likely to cause staining. This includes coffee, tea, red wine, dark sodas, and fruit juices. Dark-colored sauces, such as soy sauce and balsamic vinegar, can also contribute to staining. Additionally, certain fruits and vegetables, like berries, beets, and spinach, can leave stains. During the initial period after whitening, it’s best to avoid these items entirely or consume them in moderation, rinsing your mouth immediately after eating or drinking them.
Oral Hygiene Practices

Good oral hygiene practices are crucial for maintaining a bright, healthy smile after teeth whitening. Brushing your teeth at least twice a day with a fluoride toothpaste is essential for removing plaque and preventing stains. Flossing daily is equally important for cleaning between teeth and preventing the buildup of plaque and food particles. Consider using a whitening toothpaste to help maintain the brightness of your teeth, but avoid overly abrasive toothpastes that can damage your enamel. Regular dental checkups and professional cleanings are also necessary for removing stubborn stains and keeping your teeth healthy. If you smoke, quitting smoking is highly recommended, as tobacco can significantly stain your teeth. Consistent oral hygiene efforts will maximize the longevity and appearance of your whitened smile.
