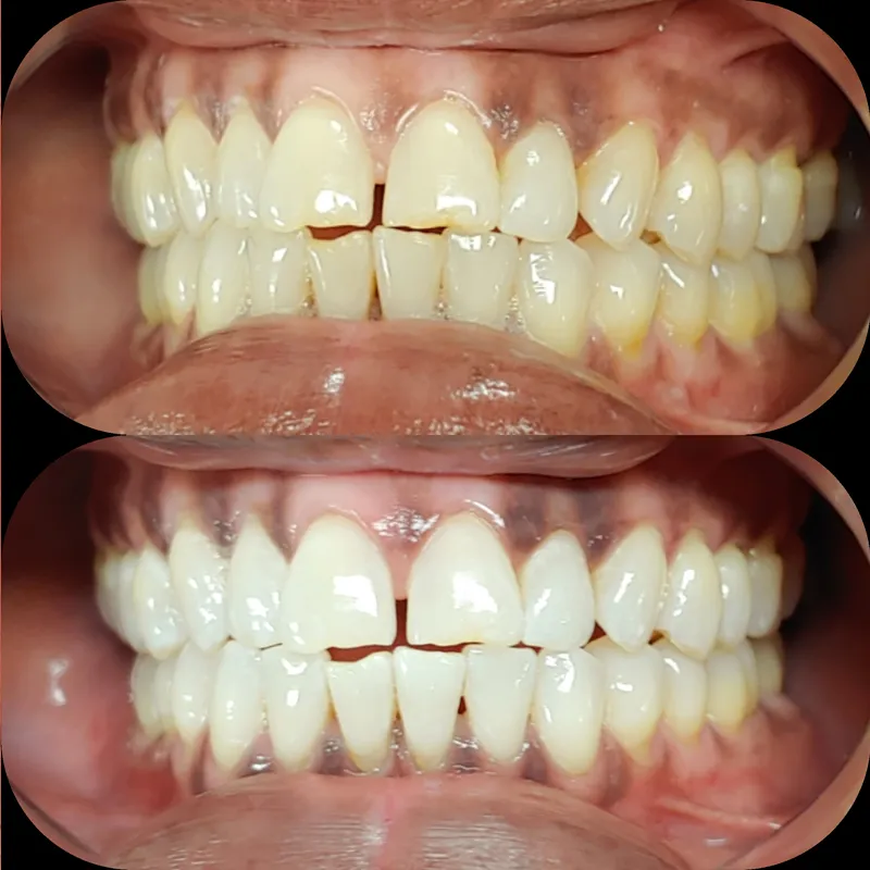
Understanding Teeth Whitening in New Orleans
A bright, white smile can significantly boost your confidence and leave a lasting positive impression. In the vibrant city of New Orleans, where appearances and social interactions are highly valued, teeth whitening has become a popular cosmetic procedure. But what exactly is teeth whitening, and how does it work? Teeth whitening is a process that lightens the color of your teeth, helping to remove stains and discoloration. This can be achieved through various methods, ranging from professional treatments performed by a dentist to over-the-counter products you can use at home. The effectiveness of these methods can vary greatly, so understanding the different options available is key to achieving the best results. The goal is a refreshed and more radiant smile, perfectly suited for the lively atmosphere of New Orleans.
Types of Teeth Whitening Treatments
There’s a variety of approaches to teeth whitening in New Orleans, each with its own set of advantages. The best choice for you will depend on your individual needs, the severity of your stains, and your budget. Understanding the different types of treatments can help you make an informed decision. Whether you’re looking for a quick fix or a more gradual approach, exploring these options is the first step towards achieving a brighter smile. Remember to consider your lifestyle and oral health when deciding on a method. A dentist in New Orleans can assess your specific situation and guide you toward the most appropriate solution.
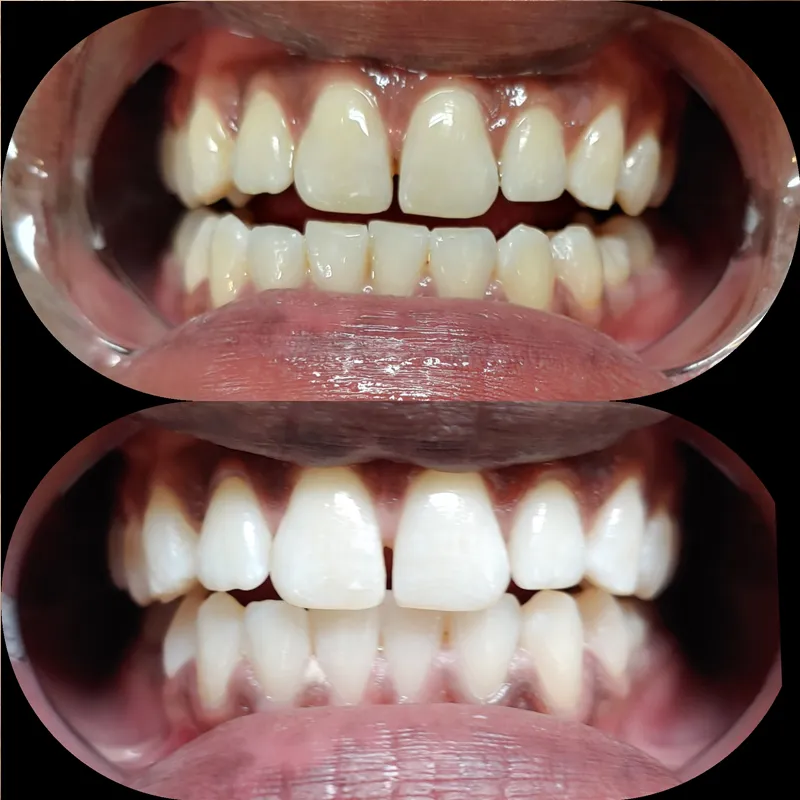
In-Office Teeth Whitening

In-office teeth whitening, also known as professional teeth whitening, is performed by a dentist in a clinic. This method is the quickest way to achieve dramatic results. The process typically involves the dentist applying a high-concentration bleaching agent to your teeth and using a special light or laser to accelerate the whitening process. The entire procedure usually takes about an hour, and you can leave the office with a significantly brighter smile. Because the treatment is administered by a professional, in-office whitening is often more effective and produces more consistent results. This method is ideal if you’re looking for immediate and noticeable improvement. Consult your dentist to find out if this is a suitable choice for your needs, and for your specific teeth.
At-Home Teeth Whitening Kits
At-home teeth whitening kits offer a more convenient and affordable alternative to in-office treatments. These kits typically include custom-fitted trays, bleaching gel, and instructions for use. Your dentist may provide you with a customized kit, designed for your specific needs. You’ll wear the trays for a specified amount of time each day or night, depending on the instructions. While at-home kits take longer to produce results than in-office treatments, they can still be effective in lightening your teeth over time. The key to success with at-home kits is consistent use and following the instructions carefully. It is recommended that you consult with a dentist to ensure that the kit is appropriate for your teeth and to avoid potential side effects. They can give you advice and point you toward a suitable product.
Professional vs. Over-the-Counter Options
Choosing between professional and over-the-counter (OTC) teeth whitening options involves weighing factors such as effectiveness, cost, and convenience. Professional teeth whitening, performed by a dentist, offers the most significant results due to the higher concentration of bleaching agents and specialized techniques used. However, it’s also the most expensive option. Over-the-counter products, like whitening strips, toothpastes, and gels, are more budget-friendly and readily available. However, they often contain lower concentrations of whitening agents, leading to less dramatic and slower results. While OTC products can be effective for mild stains, they may not be suitable for more severe discoloration. Consulting with a dentist in New Orleans can help you determine which option best suits your needs and oral health condition.
Factors Affecting Teeth Whitening Results

Several factors can influence the effectiveness and longevity of your teeth whitening treatment. Understanding these factors can help you manage your expectations and make informed decisions about your oral care. Lifestyle choices, oral hygiene habits, and even your diet play crucial roles in the outcome. Considering these aspects before undergoing teeth whitening can improve your results and keep your smile bright for longer. If you have questions about your specific situation, consult with your New Orleans dentist to ensure you receive a personalized and effective whitening plan.
Your Diet and Lifestyle
The foods and beverages you consume can significantly affect the color of your teeth. Certain items, such as coffee, tea, red wine, and dark-colored berries, are known to stain teeth. Smoking and other tobacco use also contribute to discoloration. To maximize the effectiveness of teeth whitening, it’s advisable to limit your intake of these stain-causing substances, especially during and immediately after treatment. Maintaining a balanced diet rich in fruits, vegetables, and water can also help keep your teeth clean and healthy. Being mindful of your lifestyle choices and making small adjustments can make a big difference in the long-term success of your whitening efforts.
The Importance of Oral Hygiene
Practicing good oral hygiene is fundamental to maintaining a bright smile and enhancing the effects of teeth whitening. Brushing your teeth at least twice a day and flossing daily helps remove plaque and food particles that can contribute to stains. Using a whitening toothpaste can further boost your results, but it’s important to consult your dentist about which products are right for you. Regular dental check-ups and professional cleanings are also essential, as they remove stubborn stains and tartar that brushing and flossing alone cannot handle. Consistent and thorough oral hygiene is the foundation of a healthy and radiant smile.
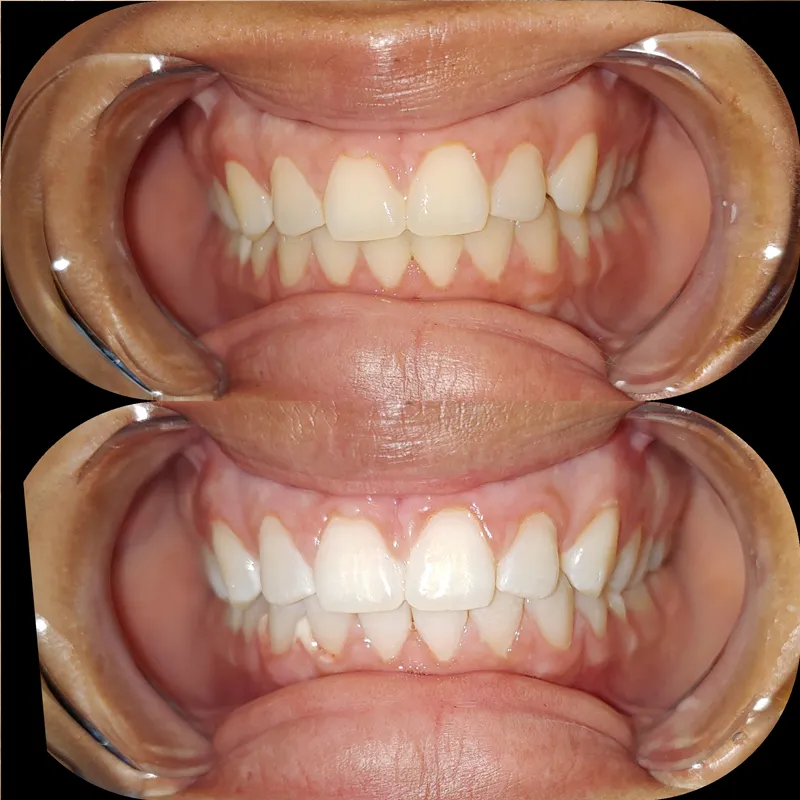
How Long Teeth Whitening Lasts

The longevity of your teeth whitening results varies depending on the treatment method and your lifestyle choices. In-office whitening can last for several months to a few years, while at-home treatments may require touch-ups more frequently. Your diet, oral hygiene habits, and whether you smoke or use tobacco products can also impact the duration of your results. To maintain your bright smile, it is essential to avoid or limit stain-causing foods and drinks, practice good oral hygiene, and schedule regular dental check-ups. With proper care, you can enjoy a dazzling smile for a significant period of time. Your dentist in New Orleans can provide tailored advice on how to extend the life of your whitening results.
Finding the Right New Orleans Dentist
Choosing the right dentist is crucial for achieving safe and effective teeth whitening results. In New Orleans, you have a wealth of options, so it’s important to do your research and find a dentist who meets your needs. Consider factors such as the dentist’s experience, qualifications, and the range of services offered. Reading online reviews and asking for recommendations from friends and family can provide valuable insights into the quality of care you can expect. A good dentist will also take the time to understand your goals and discuss the best whitening options for your specific situation. Ultimately, selecting a dentist you trust and feel comfortable with is key to a positive experience.
What to Expect During a Consultation
During your teeth whitening consultation, your dentist will evaluate your oral health and discuss your whitening goals. The dentist will examine your teeth and gums to ensure they are healthy enough for treatment. They’ll also assess the type and severity of stains, and discuss the various whitening options available. The dentist will explain the procedure, potential side effects, and expected results. They’ll also provide you with personalized recommendations based on your individual needs and preferences. This consultation is an opportunity for you to ask questions and gain a better understanding of the process. Be prepared to share your medical history, any current medications, and your expectations for a brighter smile. The information shared during the consultation will help your dentist tailor the perfect teeth-whitening plan for you.
Questions to Ask Your Dentist

Preparing a list of questions for your dentist can help you make an informed decision about teeth whitening. Some important questions to ask include: What type of teeth whitening treatment do you recommend for my teeth? What are the potential risks and side effects of this treatment? How long will the results last? What is the cost of the treatment, and what payment options are available? How do I care for my teeth after the treatment? Can you show me before-and-after photos of your other patients? Knowing the answers to these questions will empower you to make informed decisions and will give you a clearer picture of what to expect. It is important to feel confident and comfortable with the dentist and the chosen procedure.
Maintaining Your Bright Smile
Once you’ve achieved your desired level of whiteness, maintaining your bright smile requires a combination of diligent oral hygiene, mindful dietary choices, and regular dental check-ups. Consistent care will not only prolong the effects of your teeth whitening treatment but also contribute to your overall oral health. Making these practices a part of your daily routine will ensure that you continue to enjoy your beautiful smile for years to come. These tips are especially important in New Orleans, where a vibrant smile is as much a part of the culture as its music and food.
Tips for Long-Lasting Results
To keep your teeth looking their best after whitening, follow these simple tips. Brush your teeth twice a day with a whitening toothpaste, and floss daily to remove plaque and food particles. Rinse your mouth with water after consuming staining foods or drinks, such as coffee or red wine. Use a straw to drink beverages that tend to stain your teeth. Consider occasional touch-up treatments to maintain your desired level of brightness. Attend regular dental check-ups and cleanings to keep your teeth healthy and address any potential issues. By following these steps, you can extend the life of your whitening results and continue to enjoy a radiant smile.
Avoiding Stain-Causing Foods and Drinks

Avoiding or limiting stain-causing foods and drinks is essential for maintaining your teeth whitening results. Certain substances, such as coffee, tea, red wine, and dark-colored berries, can gradually stain your teeth over time. If you consume these items, consider rinsing your mouth with water afterward, or brushing your teeth shortly after. Smoking and other tobacco products are also major contributors to tooth discoloration, so avoiding these habits is highly recommended. Being mindful of your diet and making conscious choices can significantly impact the longevity of your bright smile. By making small adjustments to your lifestyle, you can protect your investment in teeth whitening and keep your smile looking its best.
Regular Dental Check-ups
Regular dental check-ups and professional cleanings are crucial for maintaining oral health and preserving your teeth whitening results. Your dentist can remove any surface stains that have accumulated and assess the overall health of your teeth and gums. They can also identify any potential issues early on, preventing them from becoming more serious. During these appointments, your dentist might recommend touch-up whitening treatments to keep your smile at its brightest. Routine dental care helps keep your teeth healthy, beautiful, and helps to maintain your bright, white smile. Schedule your check-ups in New Orleans, and be sure to adhere to your dentist’s recommendations for optimal results.
