Crest Whitening Strips vs Dentist Which Wins?
Achieving a brighter, more confident smile is a goal for many, and teeth whitening has become a popular cosmetic procedure. With various options available, from over-the-counter products to professional treatments, deciding which method is best can be overwhelming. This article delves into a comprehensive comparison of Crest whitening strips and dentist-provided whitening treatments, analyzing their effectiveness, cost, safety, and overall suitability to help you make an informed decision. This guide aims to provide you with the insights needed to choose the best whitening solution for your needs, ensuring you achieve a dazzling and healthy smile. We will explore the benefits and drawbacks of both Crest strips and professional whitening, helping you understand the nuances of each method and their potential impact on your oral health and aesthetic goals.
Understanding Teeth Whitening
Teeth whitening is a cosmetic dental procedure designed to lighten the shade of your teeth, removing stains and discoloration. The process typically involves bleaching agents that penetrate the enamel, breaking down stain molecules. The effectiveness of whitening treatments can vary based on the type of stains, the concentration of the bleaching agent, and the duration of the treatment. It’s essential to understand the science behind teeth whitening to appreciate the differences between various methods, from the convenience of at-home strips to the advanced techniques used by dentists. Several factors, including lifestyle habits such as smoking and diet, can impact the results and longevity of teeth whitening, influencing how long your brighter smile lasts. Proper oral hygiene and maintenance are crucial in preserving the results of any whitening treatment, ensuring your investment in a brighter smile remains effective for a long time.
Types of Teeth Whitening

Teeth whitening methods broadly fall into two categories over-the-counter and professional treatments. Over-the-counter options include whitening toothpaste, strips, and gels, offering convenience and affordability. Professional treatments, performed by dentists, often use stronger bleaching agents and advanced techniques like in-office whitening and custom-fitted trays for at-home use. Each type has its advantages and disadvantages. The choice depends on individual needs, desired results, and budget constraints. Understanding the different types of whitening treatments will help you make an informed decision tailored to your specific requirements and expectations. The best choice depends on your personal preferences and the level of whitening you desire, as well as your oral health conditions.
Factors Influencing Whitening
Several factors can influence the effectiveness and longevity of teeth whitening results. The type and severity of stains play a significant role; extrinsic stains, caused by food and drinks, are generally easier to remove than intrinsic stains, which occur within the tooth structure. The concentration of the bleaching agent and the duration of treatment also affect the outcome. Additionally, individual factors like enamel porosity and the presence of dental restorations can impact whitening results. Lifestyle choices, such as smoking and consuming staining foods and beverages, can shorten the lifespan of your whitening results. Maintaining a good oral hygiene routine and avoiding these factors can help preserve the brightness of your smile. Consult with your dentist to determine how these factors might affect your specific case and how to achieve the best outcomes.
Crest Whitening Strips What They Are
Crest whitening strips are a popular over-the-counter teeth whitening product. They consist of thin, flexible strips coated with a peroxide-based whitening agent. These strips are designed to be applied directly to the teeth, adhering to the surface to deliver the bleaching agent. Crest offers various types of strips with different concentrations of hydrogen peroxide and treatment durations, catering to different needs and sensitivities. These strips are known for their convenience and ease of use, making them a popular choice for those seeking an affordable and accessible whitening solution. The primary goal is to provide an easy and effective way to brighten teeth at home, without the need for a dental visit. Properly using these strips involves following the instructions carefully and adhering to the recommended treatment schedule.
How Crest Strips Work

Crest whitening strips work by using a bleaching agent, typically hydrogen peroxide, to penetrate the enamel and break down stain molecules. The strips are applied to the teeth, ensuring the whitening agent comes into direct contact with the tooth surface. Over a specified period, the hydrogen peroxide oxidizes the stain molecules, lightening the tooth color. The effectiveness of the strips depends on the concentration of the peroxide and the duration of the treatment. The key to effective whitening with Crest strips is consistent use as directed. Regular use allows the bleaching agent to progressively remove stains and brighten the teeth over time. Results vary, but many users see noticeable improvements within a few weeks. The strips are designed to be safe and easy to use, making them a convenient option for at-home whitening.
Pros of Using Crest Strips
Crest whitening strips offer several advantages, including convenience and affordability. They are readily available over the counter, making them accessible without a dental appointment. The ease of use is a significant benefit; the strips are simple to apply and can be incorporated into your daily routine without disrupting your schedule. Cost-effectiveness is another key advantage, as Crest strips are typically much less expensive than professional whitening treatments. They provide a good option for maintaining brightness after dentist visits. While they may not offer the same dramatic results as professional treatments, Crest strips can still provide noticeable whitening and boost your confidence. This makes them a popular choice for many who want to improve their smile on a budget. The convenience and ease of use make them an attractive option for those looking for a hassle-free whitening solution.
Cons of Using Crest Strips
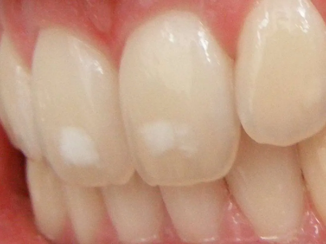
Despite their benefits, Crest whitening strips have some drawbacks. The whitening results may not be as dramatic or long-lasting as those achieved with professional treatments. Some users experience tooth sensitivity or gum irritation, which can be uncomfortable. The strips may not fit perfectly, which can lead to uneven whitening and potential issues with the product reaching all surfaces. Effectiveness can vary depending on the type and severity of stains. Also, because they are available over the counter, strips may not be suitable for everyone. It’s essential to consider these factors and weigh them against the convenience and cost benefits before choosing Crest strips. Consulting with your dentist can help determine if they are the right choice for your specific needs and oral health conditions.
Professional Dentist Whitening

Professional teeth whitening performed by a dentist offers a more advanced and often more effective solution for achieving a brighter smile. Dentists use stronger bleaching agents, typically containing higher concentrations of hydrogen peroxide, which can deliver more dramatic results. The process often involves in-office treatments, where the dentist applies the whitening agent and monitors the progress, or customized at-home trays that provide a better fit and more even whitening. Professional treatments also include safeguards to protect the gums and other soft tissues. The expertise of a dentist ensures the safe and effective application of the whitening agent, minimizing the risk of side effects and maximizing results. While the cost is higher than over-the-counter options, professional whitening offers significant benefits, particularly for those with stubborn stains or a desire for dramatic improvements. This approach also includes a comprehensive evaluation of your oral health.
Types of Dentist Whitening Treatments
Dentist-provided teeth whitening treatments include in-office whitening and at-home whitening systems. In-office whitening involves applying a high-concentration bleaching agent to the teeth, often activated by a special light or laser. The dentist monitors the procedure to ensure safety and effectiveness, and the results are often visible in a single visit. At-home whitening systems use custom-fitted trays and a bleaching agent provided by the dentist. This method allows for more precise application and controlled results. The dentist guides the process. Both methods offer significant advantages over over-the-counter options, including more potent bleaching agents and professional supervision. Each method is customized to the patient’s needs, ensuring effective and safe whitening. The dentist will evaluate your teeth, provide guidance, and address any concerns about the whitening process. The tailored approach ensures that you achieve the desired results.
Pros of Dentist Whitening
Professional dentist whitening offers several key advantages, including superior effectiveness and safety. Dentists use stronger bleaching agents that yield faster and more dramatic results. They also have the expertise to address individual oral health needs and ensure the treatment is safe. The custom-fitted trays used in some treatments offer a more even application of the bleaching agent, resulting in consistent whitening. Dentists can also provide guidance on maintaining results and managing any side effects. They can also identify and address any underlying dental issues. Another significant benefit is the professional supervision and monitoring throughout the process, ensuring that the treatment is carried out effectively and minimizes potential risks. The tailored approach provides a more personalized experience, leading to greater satisfaction.
Cons of Dentist Whitening

While professional dentist whitening offers significant benefits, it also has potential drawbacks. The primary disadvantage is the higher cost compared to over-the-counter options like Crest strips. Treatments can be more time-consuming, particularly in-office whitening sessions, which may require multiple visits. Some patients may experience tooth sensitivity or gum irritation, although dentists take precautions to minimize these side effects. Professional whitening is not suitable for everyone; those with certain dental conditions or sensitivities may not be good candidates. The results are not permanent, and maintenance treatments may be needed to sustain the brightness. Considering these potential cons, it’s crucial to weigh the advantages against the disadvantages to determine if professional whitening is the best option for your specific needs and budget.
Crest Strips vs Dentist Effectiveness
Whitening Power Comparison
When comparing Crest whitening strips and dentist-provided whitening, the latter generally offers superior whitening power. Dentists can use higher concentrations of hydrogen peroxide, which is the active bleaching agent. This results in more significant and faster whitening results. Crest strips provide noticeable whitening but may not be as effective for stubborn stains or severe discoloration. Professional treatments, whether in-office or at-home with custom trays, are designed to deliver more dramatic and longer-lasting results. The higher concentration of bleaching agents and the controlled environment of a dental office contribute to the superior effectiveness of professional whitening. However, the choice between the two should consider individual needs, the severity of staining, and the desired level of whitening. While Crest strips provide a convenient and affordable option for mild discoloration, those seeking a more dramatic transformation will likely find professional whitening more effective.
Factors Affecting Results

Several factors influence the whitening results achieved with both Crest strips and dentist treatments. The type and severity of stains play a crucial role; extrinsic stains, caused by food and drinks, are typically easier to remove than intrinsic stains, which are deeper within the tooth structure. The initial shade of your teeth also matters; the darker your teeth, the more dramatic the improvement will be. Individual tooth enamel characteristics, such as porosity, can affect how well the whitening agent penetrates and whitens the teeth. Lifestyle choices such as smoking and consuming staining foods and beverages can impact the longevity of results. With dentist treatments, factors such as the concentration of the bleaching agent and the application method also influence results. Also, the patient’s adherence to aftercare instructions is critical for maintaining the brightness. Also, the dentist’s expertise plays a crucial role in optimizing outcomes and minimizing potential side effects.
Cost Analysis
Cost of Crest Strips
The cost of Crest whitening strips is significantly lower than that of professional dentist whitening. The price of Crest strips varies depending on the specific product and the retailer, but they are generally affordable. The convenience of purchasing them over the counter, without the need for a dental appointment, adds to their cost-effectiveness. This makes Crest strips an attractive option for those on a budget or looking for a quick and easy way to brighten their smile. The cost per treatment is relatively low, making it accessible for regular use. The availability and affordability are a major advantage. They provide a cost-effective solution for those seeking a noticeable improvement in their tooth shade without the higher expense of professional treatments. This affordability makes Crest strips an excellent option for maintaining brightness after dentist visits.
Cost of Dentist Whitening

The cost of professional dentist whitening is considerably higher than that of Crest strips. The price varies depending on the type of treatment. In-office whitening is generally more expensive than at-home whitening systems because it involves the dentist’s time, expertise, and the use of advanced equipment. At-home systems, which include custom-fitted trays and professional-strength bleaching agents, are also priced higher than over-the-counter options but are often more affordable than in-office treatments. However, the investment in professional whitening can be justified by the superior results and the long-term benefits for oral health and aesthetics. The cost reflects the added benefits of safety, effectiveness, and the expertise of dental professionals. While more expensive upfront, the investment often leads to more significant and longer-lasting improvements in the brightness of your teeth.
Additional Costs to Consider
When evaluating the cost of teeth whitening, it’s essential to consider additional expenses beyond the initial product or treatment fee. With Crest whitening strips, factors to consider are ongoing purchases, as results are less long-lasting. Potential costs include the need for additional whitening sessions and the purchase of desensitizing toothpaste if sensitivity occurs. With dentist whitening, additional costs may include a pre-whitening dental exam and cleaning. Maintenance treatments or touch-ups may be required to maintain the results. Also, the long-term cost benefits and the potential need for additional products or maintenance. It is important to weigh the long-term benefits and potential maintenance costs. This comprehensive view will help you make an informed decision that aligns with your budget and desired outcomes.
Safety and Side Effects
Safety of Crest Strips
Crest whitening strips are generally safe when used according to the manufacturer’s instructions. They contain a lower concentration of hydrogen peroxide, minimizing the risk of severe side effects. However, improper use can lead to tooth sensitivity and gum irritation. It is essential to follow the guidelines provided with the strips. This is crucial to minimize any potential risks. Avoid overuse, which may exacerbate sensitivity issues. If you experience persistent discomfort, discontinue use and consult your dentist. Always keep the strips out of reach of children, as ingestion of the whitening agent can be harmful. The safety of Crest strips depends on the proper usage and adherence to the instructions provided. Therefore, understanding the directions and precautions is vital. The overall safety of Crest strips is good when used responsibly.
Side Effects of Dentist Whitening
Dentist-provided teeth whitening may cause some side effects, although dentists take measures to minimize them. The most common side effects include tooth sensitivity and gum irritation. Sensitivity can be managed with desensitizing toothpaste or professional treatments provided by the dentist. Gum irritation typically subsides shortly after the treatment. In rare cases, more severe side effects can occur. Dentists are trained to address any complications. The dentist will monitor your progress and adjust the treatment as needed. Ensuring that the process is done correctly and providing aftercare instructions is essential. This helps minimize risks. Dentists will assess your oral health before the whitening to ensure that the treatment is appropriate for you. By following these precautions and professional supervision, the risks are significantly reduced. Any concerns or persistent issues should be promptly addressed by the dentist.
Choosing the Right Whitening Option
Consulting a Dentist
Before deciding between Crest whitening strips and dentist whitening, consulting with a dentist is highly recommended. A dentist can assess your oral health and determine if teeth whitening is appropriate for you. They will also be able to evaluate the type and severity of stains, providing personalized recommendations. The dentist can offer professional advice, considering your specific needs and cosmetic goals. A dental exam can identify any underlying issues, such as cavities or gum disease, that need to be addressed before whitening. Seeking professional guidance ensures the best possible results and minimizes the risk of complications. Your dentist can help you understand the potential benefits and drawbacks of each option and guide you towards the most suitable choice for a brighter, healthier smile. This consultation is essential for a safe and effective teeth whitening experience. By seeking professional advice, you can ensure you’re making an informed decision.
Whitening Strip Guidelines
When using Crest whitening strips, following the guidelines carefully is important for safe and effective results. Read and understand the manufacturer’s instructions before you begin. Apply the strips as directed, ensuring they cover the teeth properly. Avoid overusing the strips, as this can increase tooth sensitivity and gum irritation. Be consistent with your treatment schedule. If you experience any discomfort, such as sensitivity or gum irritation, discontinue use. Contact your dentist for advice. Avoid eating, drinking, or smoking while the strips are in place, and be sure to brush your teeth before applying the strips. Store the strips properly, following the storage instructions on the package. Following these guidelines can help you achieve the desired results while minimizing the risk of side effects. Regularly evaluate your teeth for changes and consult your dentist if you have any questions or concerns. Following these guidelines, you can safely and effectively improve the brightness of your smile.
