Understanding Teeth Whitening in Brentwood
If you’re looking to enhance your smile, teeth whitening in Brentwood is a popular and effective cosmetic dentistry procedure. It involves lightening the shade of your teeth to give you a brighter, more confident smile. Whether you are preparing for a special event or simply want to boost your self-esteem, teeth whitening can make a significant difference. This guide provides valuable insights into the various methods available, helping you make an informed decision about the best approach for your needs. With the right information, you can achieve a dazzling smile that you’ll be proud to show off. We will dive into the causes of teeth discoloration and all the different options available to you in Brentwood.
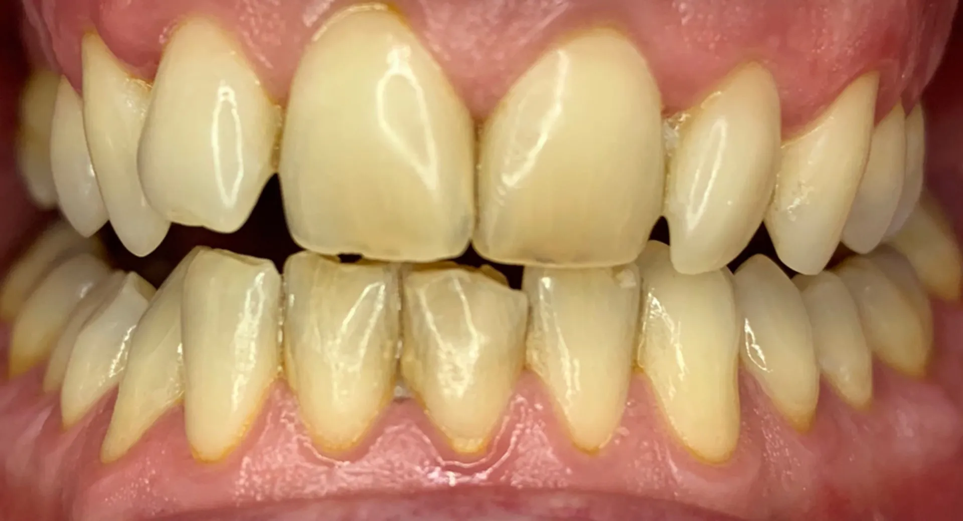
What Causes Tooth Discoloration?
Tooth discoloration can result from various factors, both intrinsic (internal) and extrinsic (external). Extrinsic stains affect the tooth’s surface and are often caused by food and drinks. These include coffee, tea, red wine, and berries, all of which contain pigments that can adhere to the enamel. Intrinsic stains originate from within the tooth. These can be caused by factors such as aging, certain medications (like tetracycline), excessive fluoride exposure during childhood, or trauma to the tooth. Understanding the cause of your discoloration is crucial for selecting the most effective whitening method. Different types of stains respond differently to whitening treatments. Recognizing the source of discoloration helps dentists tailor their approach for optimal results. Tooth discoloration is a normal occurrence and understanding its causes can help you make informed choices about your oral health and smile aesthetics.
Common Staining Foods and Drinks

Many foods and beverages contribute to teeth staining. Coffee and tea, for example, are notorious for their staining properties due to the presence of tannins, which bind to the enamel. Red wine also contains tannins and chromogens, leading to significant discoloration. Berries, particularly those with dark pigments like blueberries and blackberries, can stain teeth. Additionally, sauces like soy sauce and balsamic vinegar can cause staining. Regular consumption of these items can gradually darken your teeth over time. Minimizing your intake of these foods and drinks, or practicing good oral hygiene after consumption, can help mitigate staining. Remember to rinse your mouth with water after consuming these foods and drinks to help remove staining particles.
Lifestyle Factors Affecting Tooth Color
Lifestyle choices significantly impact the color of your teeth. Smoking and chewing tobacco are major contributors to tooth discoloration, causing yellowing and brown stains. The nicotine and tar in tobacco products stain teeth, and the stains can become deeply embedded over time. Poor oral hygiene practices, such as infrequent brushing and flossing, allow plaque and stains to accumulate. Furthermore, age plays a role, as the enamel thins with time, revealing the yellowish dentin underneath. Certain medications, such as some antibiotics and antihistamines, can also affect tooth color. Avoiding tobacco, maintaining good oral hygiene, and being mindful of the impact of medications are essential for preserving a bright smile. Regular dental check-ups and cleanings are also important to counter the effects of these lifestyle factors.
Brentwood Teeth Whitening Options
In Brentwood, various teeth whitening options cater to different needs and preferences. These range from professional treatments administered by dentists to over-the-counter products. Each method has its advantages and potential drawbacks, with results varying based on the degree of discoloration and the chosen treatment. Understanding the available options is essential to making an informed decision. The choice should align with your budget, desired results, and commitment to maintaining a brighter smile. Consulting with a dentist in Brentwood is crucial to determine the most suitable option for your unique situation. They can assess your oral health and recommend a safe and effective whitening plan.
Professional Teeth Whitening Treatments

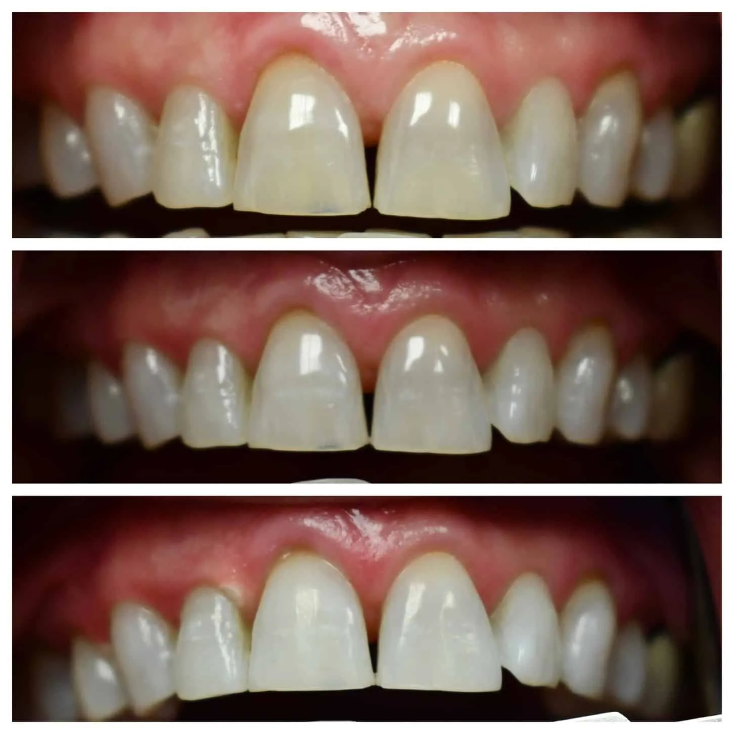
Professional teeth whitening treatments, performed by dentists in Brentwood, offer the most effective and controlled results. These treatments use a high concentration of bleaching agents, typically hydrogen peroxide, which is applied directly to the teeth. The dentist takes precautions to protect the gums and soft tissues, ensuring the procedure is safe and comfortable. Professional whitening can often achieve dramatic results in a single session, making it an excellent option for those seeking immediate improvements. The results are often more significant and longer-lasting compared to at-home methods. The dentist can also address specific issues, such as uneven staining, ensuring a uniform and bright smile. Professional treatments are ideal for individuals seeking the highest quality results and those with more severe discoloration.
In-Office Whitening Procedures
In-office whitening procedures, also known as chairside whitening, are conducted in a dentist’s office in Brentwood. The process typically involves isolating the teeth, applying a strong bleaching agent, and using a special light or laser to accelerate the whitening process. This procedure is fast, often completed in about an hour, and can yield significant results in a single visit. The dentist closely monitors the process, ensuring the safety and comfort of the patient. This method is particularly effective for those seeking quick and noticeable improvements. After the procedure, the dentist will provide aftercare instructions to maintain the results. In-office whitening is a convenient and effective solution for achieving a brighter smile with professional oversight and care.
Take-Home Whitening Kits
Take-home whitening kits offer a convenient alternative for teeth whitening in Brentwood. These kits usually involve custom-fitted trays created by your dentist, designed to fit your teeth precisely. You apply a lower concentration of bleaching agent to the trays and wear them for a specified period each day, as recommended by your dentist. The process typically takes several days or weeks to achieve the desired results, allowing you to whiten your teeth in the comfort of your home. While slower than in-office procedures, take-home kits are more affordable and offer greater flexibility. The dentist provides instructions and monitors your progress to ensure safe and effective whitening. This method is suitable for those seeking gradual improvement and a more budget-friendly option.
Over-the-Counter Whitening Products

Over-the-counter (OTC) whitening products are readily available at drugstores and supermarkets in Brentwood. These products include whitening strips, gels, and toothpastes. Whitening strips are thin, flexible strips coated with a bleaching agent that you apply directly to your teeth. Whitening gels are applied using a brush, while whitening toothpastes contain mild abrasives and bleaching agents. OTC products are generally less expensive than professional treatments and take-home kits. However, they often contain lower concentrations of bleaching agents, resulting in less dramatic and slower results. It’s important to follow the product instructions carefully to avoid any potential side effects, such as tooth sensitivity or gum irritation. Before using any OTC product, it’s recommended to consult with your dentist to ensure it’s suitable for your specific needs and oral health.
Whitening Toothpastes and Rinses
Whitening toothpastes and rinses are a popular option for maintaining a brighter smile in Brentwood. These products contain mild abrasives and chemical agents that help remove surface stains and prevent new ones from forming. While they can improve the appearance of your teeth, whitening toothpastes generally don’t change the intrinsic color of your teeth significantly. Whitening rinses can help to further remove debris and stains. Using these products regularly as part of your oral hygiene routine can contribute to a cleaner, brighter smile. They are a cost-effective option for everyday use and are readily available over the counter. It is important to remember that these products are primarily for surface stain removal, and for more dramatic whitening, other methods are usually necessary.
Choosing the Right Teeth Whitening Method
Selecting the right teeth whitening method in Brentwood depends on several factors. Consider the extent and type of discoloration, your budget, and how quickly you want to see results. Professional whitening treatments offer the most dramatic and immediate results, making them a great choice for special events or rapid smile enhancement. Take-home kits provide a more gradual but affordable option, offering flexibility and convenience. Over-the-counter products are the most budget-friendly but yield milder results. Consult with a dentist in Brentwood for a personalized assessment. They can evaluate your oral health, determine the cause of discoloration, and recommend the best approach based on your individual needs and preferences. Your dentist can also provide professional advice on managing expectations and maintaining the longevity of your results.
Factors to Consider Before Whitening

Before undergoing teeth whitening in Brentwood, it’s crucial to consider several factors. Ensure your gums and teeth are healthy; whitening on teeth with untreated cavities or gum disease can exacerbate these conditions. Discuss any existing dental work, such as fillings, crowns, or veneers, with your dentist, as whitening treatments won’t change the color of these restorations. Be realistic about your expectations. Whitening can significantly improve your smile, but results vary. Some individuals may experience tooth sensitivity during or after the treatment. Discuss this potential side effect with your dentist. Finally, understand the costs and commitment involved. Professional treatments are typically more expensive than at-home options, and long-term maintenance is essential to sustain your results. Making an informed decision, with professional guidance, leads to the best possible outcome.
Consulting a Dentist in Brentwood
Consulting a dentist in Brentwood is a critical step in the teeth whitening process. A dentist can assess your oral health, identify any underlying issues, and recommend the most appropriate whitening method. They can also advise you on the safety and effectiveness of different treatments based on your specific needs and dental history. During the consultation, your dentist will discuss your goals and expectations, ensuring you have a clear understanding of the potential outcomes. They will also take necessary precautions to protect your gums and teeth during professional whitening procedures. Regular dental check-ups can help maintain the results of your whitening treatment and monitor your overall oral health. A dentist’s expertise guarantees a safe, effective, and personalized approach to achieving a brighter, healthier smile.
Benefits of Professional Teeth Whitening
Professional teeth whitening offers numerous advantages over at-home methods. The key benefit is the enhanced effectiveness of the treatment. Dentists use stronger bleaching agents, resulting in more dramatic and faster results. Professional treatments are safer, as they are administered under the supervision of a trained professional who can protect your gums and monitor your progress. They can also address specific types of discoloration, providing a more uniform and natural-looking outcome. Professional whitening can boost your confidence and improve your overall smile aesthetics. Regular dental check-ups also provide a chance for the dentist to identify other oral health problems and initiate their treatment. Achieving a brighter smile professionally can lead to significant long-term benefits for both your smile and your oral health.
Maintaining Your Bright Smile

Maintaining your bright smile after teeth whitening in Brentwood requires a proactive approach. Good oral hygiene is paramount. Brush your teeth twice daily and floss once to remove plaque and prevent new stains from forming. Avoid or limit the consumption of staining foods and drinks, such as coffee, tea, red wine, and dark berries. If you consume these, rinse your mouth with water immediately afterward. Regular dental check-ups and professional cleanings are essential to remove surface stains and maintain your results. Consider using a whitening toothpaste or rinse to help maintain your new shade. Using a straw for staining drinks can also minimize contact with your teeth. By incorporating these practices, you can extend the life of your whitening treatment and enjoy a brighter, more confident smile for years to come.
Post-Whitening Care Tips
After teeth whitening, proper care is essential to maintain your new, brighter smile. For the first few days, avoid foods and drinks that are known to cause staining, such as coffee, tea, red wine, and dark berries. If you consume these, be sure to brush your teeth or rinse your mouth with water immediately. Avoid smoking, as it can quickly re-stain your teeth. Use a soft-bristled toothbrush and brush gently to avoid irritating your gums. Follow your dentist’s instructions regarding the use of any post-whitening products, such as fluoride treatments, that may be recommended to reduce sensitivity and strengthen your enamel. Attend regular dental check-ups and cleanings to maintain your results and monitor your overall oral health. Following these tips will help you enjoy a brighter, healthier smile for a longer time.
Preventing Future Staining
Preventing future staining is a crucial aspect of maintaining your bright smile after teeth whitening. Limit your consumption of staining foods and drinks, such as coffee, tea, red wine, and dark-colored berries. Rinse your mouth with water or brush your teeth after consuming these items to remove staining particles. Avoid smoking and chewing tobacco, as these habits are major contributors to tooth discoloration. Practice good oral hygiene by brushing your teeth twice daily and flossing once a day. Consider using a whitening toothpaste or rinse to help remove surface stains. Schedule regular dental check-ups and professional cleanings to maintain a clean and bright smile. These simple steps will help you keep your teeth white and your smile looking its best for an extended period.
Brentwood Teeth Whitening Cost and Expectations

Understanding the cost and expectations associated with teeth whitening in Brentwood is essential for making an informed decision. The cost of teeth whitening can vary depending on the method chosen, the extent of discoloration, and the dentist’s fees. Professional in-office treatments are generally more expensive than at-home kits or over-the-counter products. It’s important to discuss the cost and payment options with your dentist during your consultation. Setting realistic expectations is equally important. While teeth whitening can significantly improve the appearance of your smile, the results will vary based on individual factors, such as the type and severity of the stains. Be sure to talk to your dentist about the likely results based on your unique circumstances. Remember that maintenance is essential to prolong the effects of the whitening treatment. By understanding the costs and having realistic expectations, you can make a smart investment in your smile’s future.
Cost of Different Whitening Treatments
The cost of teeth whitening treatments varies depending on the method you select. In-office whitening procedures in Brentwood are typically the most expensive due to the professional services and advanced technology used. Take-home whitening kits, which involve custom-fitted trays and bleaching agents provided by your dentist, are usually more affordable than in-office treatments. Over-the-counter whitening products, such as strips, gels, and toothpastes, are the most budget-friendly option. The cost also depends on the specific dentist and the complexity of the case. When discussing costs, inquire about any potential additional charges, such as initial consultations or post-whitening care products. Comparing prices from different dental practices in Brentwood can help you find a treatment that fits your budget while meeting your aesthetic goals. Consider all these factors when making your decision about the appropriate teeth whitening treatment.
Realistic Expectations and Results
Setting realistic expectations is crucial for a positive teeth whitening experience. Teeth whitening can significantly lighten the shade of your teeth, but the degree of improvement varies depending on individual factors. The type and severity of the stains, the natural shade of your teeth, and the chosen whitening method all play a role. Professional whitening often yields the most dramatic results, while at-home methods provide more gradual changes. It is essential to understand that teeth whitening does not offer permanent results. Over time, teeth may darken again, especially with continued exposure to staining substances. Maintenance is essential to sustain the results. Discuss your expectations with your dentist in Brentwood. They can evaluate your situation and advise you on what results are achievable. By having realistic expectations, you’ll be more satisfied with your new, brighter smile.
